Skip to main content
Archive
About
Contribute
Contact
RSS
Now in our 15th year of bringing you beautiful imagery from biomedical science every day
Search the archive
of over 4000 images
Search
July 2017 Images
Previous
2016
Jan 17
Feb 17
Mar 17
Apr 17
May 17
Jun 17
Jul 17
Aug 17
Sep 17
Oct 17
Nov 17
Dec 17
2018
Next
31
Octopussy
30
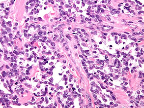
Cancer Clues
29
Womb to World
28
Work with Me
27
Space Fungus
26
Manipulating Motion
25
Eyes on Movement
24
Waving In
23
Hungry Heart
22
No Flowers Please
21
Growing Nerves
20
Livers-on-Chips
19
Walk Like Egyptians
18
Spinning Spider Proteins
17
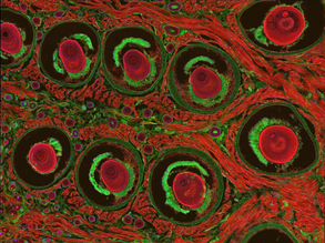
Circles Around Cancer
16
Bugs in Bugs
Born on this Day in 1928
15
Revolution in Evolution
14
Brain Guard
13
Letting it Out
12
Making MERS History
11
Hairy Endings
10
Regrowing Hearts
09
Wax Works!
08
Patterning Life
07
Stiff Whiskery
06
My Heart Breaks
05
Sniffing Out Neurons
04
Settling In
03
Cue the Music
02
Basket Case
01
Head-on Collision
Previous Month
Next Month