Skip to main content
Archive
About
Contribute
Contact
RSS
Now in our 15th year of bringing you beautiful imagery from biomedical science every day
Search the archive
of over 4000 images
Search
June 2017 Images
Previous
2016
Jan 17
Feb 17
Mar 17
Apr 17
May 17
Jun 17
Jul 17
Aug 17
Sep 17
Oct 17
Nov 17
Dec 17
2018
Next
30
Growing Trans-plants
29
Heart Cell Editing
28
Remote Control
27
Whip Cracked
26
Notox
25
The Living Gut
24
Mapping the Membrane
23
Sensing Disease
22
Super Sonic
21
Cutting up Cancer
20
Breath of Life
19
Chip In
18
Overstimulation
17
Sweet Stop
16
Hiding Dengue
15
Baring Bones
14
Switching the Wall
13
Gene Features
Breathe Easy Week
12
Asthma Switch
11
Creeping and Crawling
Wellcome Image Awards 2017
10
Carrier Pigeon
09
Inhalation Explanation
08
Memory Makers
07
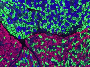
Artificial Ovaries
06
Trigger Bug
05
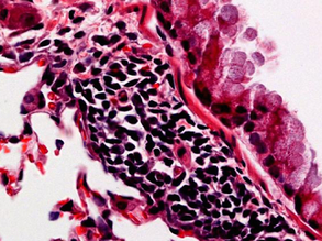
Drug-munching Cells
04
Tearful Defence
Born on this Day – in 1904
03
Bank of Blood
02
Micro-manipulators
01
Fluorescent Ferrets
Previous Month
Next Month