Now in our 15th year of bringing you beautiful imagery from biomedical science every day

Search the archive of over 4000 images

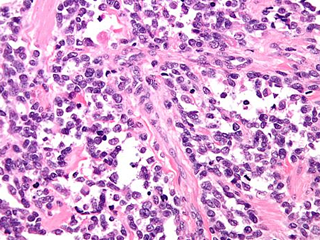
Wax Works!
09 July 2017

Wax Works!

Identifying signature genetic mutations in various cancers has led to treatments that specifically target the flaw. But with rare cancers there may be too few patient samples available from which to discern any common fault. Travelling back in time, researchers have now shown that it’s possible to boost sample sets using tissue taken from patients as long as a century ago, and to be found stored in hospitals worldwide. Archived samples have been preserved using the standard paraffin wax procedure still in use today, and from which pathologists cut and stain sections to identify the disease – like this rhabdomyosarcoma [a rare muscle tumour] pictured. However, until recently gene analysis has only worked on freshly frozen tissue, often stored especially for the purpose. Now the technology has advanced, the readily available wax-embedded tissue can also yield the genetic code, and with it may follow targeted therapy for rare tumours.

Written by Charlotte Rose Davison

Search The Archive

Submit An Image

Follow on Tumblr

Follow on Instagram

What is BPoD?

BPoD stands for Biomedical Picture of the Day. Managed by the MRC Laboratory of Medical Sciences until Jul 2023, it is now run independently by a dedicated team of scientists and writers. The website aims to engage everyone, young and old, in the wonders of biology, and its influence on medicine. The ever-growing archive of more than 4000 research images documents over a decade of progress. Explore the collection and see what you discover. Images are kindly provided for inclusion on this website through the generosity of scientists across the globe.

Read More

BPoD is also available in Catalan at www.bpod.cat with translations by the University of Valencia.