Now in our 14th year of bringing you beautiful imagery from biomedical science every day

Search the archive of over 4000 images

Stiff Whiskery
07 July 2017

Stiff Whiskery

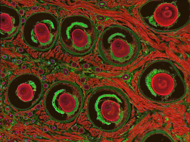
Pseudoxanthoma elasticum (PXE) is a rare genetic disorder where elastic tissues in the body become brittle and crack. Mutations in a gene called Abcc6 cause calcium to build up and stiffen the blood vessels, and even cells in the eye leading to blindness. Here researchers are investigating PXE in a mouse’s muzzle – zoomed in this far we can see the base of its whiskers (circles), which are also prone to calcification when Abcc6 is faulty. The mouse is genetically modified, and the cells that have developed to glow with red fluorescence show researchers where they will be able to switch Abcc6 on or off, all with the hope of manipulating the control of PXE and its unpleasant side effects.

Written by John Ankers

Search The Archive

Submit An Image

Follow on Tumblr

Follow on Instagram

What is BPoD?

BPoD stands for Biomedical Picture of the Day. Managed by the MRC Laboratory of Medical Sciences until Jul 2023, it is now run independently by a dedicated team of scientists and writers. The website aims to engage everyone, young and old, in the wonders of biology, and its influence on medicine. The ever-growing archive of more than 4000 research images documents over a decade of progress. Explore the collection and see what you discover. Images are kindly provided for inclusion on this website through the generosity of scientists across the globe.

Read More

BPoD is also available in Catalan at www.bpod.cat with translations by the University of Valencia.