Skip to main content
Archive
About
Contribute
Contact
RSS
Now in our 15th year of bringing you beautiful imagery from biomedical science every day
Search the archive
of over 4000 images
Search
January 2016 Images
Previous
2015
Jan 16
Feb 16
Mar 16
Apr 16
May 16
Jun 16
Jul 16
Aug 16
Sep 16
Oct 16
Nov 16
Dec 16
2017
Next
Biomedical Person of the Day
31
Dress to Thrill
30
Eat Your Neighbour
29
Skin Pins
28
Smelly Mice
27
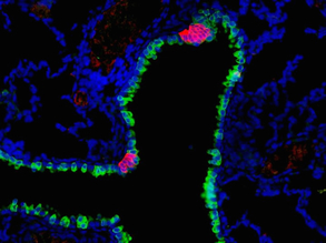
Picking up Air
26
Shaping the Future
25
Heart Regeneration
24
Nerve Cell Nurturing
23
Jailhouse Mock
22
Brain Invasion
21
Blue Brain
20
Micro-nuclear Disaster
19
Iron-clad Infections
18
Blood-borne Identity
17
HIV Feels Fat
16
Growing Branches
15
Golden Opportunity
14
Active at Rest
13
Teen Brains
12
Nickel for Survival
11
No Longer Needled
10
Breaking Bad Biology
09
Into the Breach
08
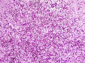
Fungus Factors
07
Inside Information
06
Un-ELF-y Lungs
05
Our Deadly Friend
04
Mum's Malaria
03
Tubes into Spheres
02
Double Agents
01
Addicted to You
Previous Month
Next Month