Skip to main content
Archive
About
Contribute
Contact
RSS
Now in our 15th year of bringing you beautiful imagery from biomedical science every day
Search the archive
of over 4000 images
Search
April 2015 Images
Previous
2014
Jan 15
Feb 15
Mar 15
Apr 15
May 15
Jun 15
Jul 15
Aug 15
Sep 15
Oct 15
Nov 15
Dec 15
2016
Next
30
Shrinking Matter
29
Paving the Kidneys
28
Killing Resistance
Born on this Day
27
Sat Nav Cells
26
Finger Clicking Good?
25
Polluting the Brain
24
Banishing Ebola
23
Secrets of Skin
22
Spotty Skin
21
Bone in Space
20
Cell to Cell
19
Ready, Steady, Divide!
18
Mapping the Mind
Senses Week
17
Solving Merkel Mysteries
Senses Week
16
Smell of Success
Senses Week
15
Bitter Truth
Senses Week
14
Hair-ing Aids
Senses Week
13
Say Cheese!
12
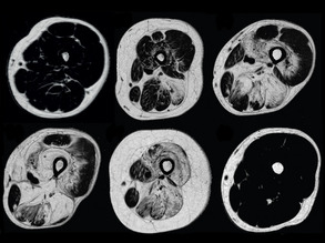
Muscle Magnets
11
New Wave
10
Replacement Pancreatic Cells
09
Touching Developments
08
Alien Slime
07
Microbe Manor
06
Bye Bye Bloodsucker?
05
Easier Egg Hunt
04
Retaining Retina
Wellcome Image Awards 2015
03
Taking It In
Wellcome Image Awards 2015
02
Micro-Medicine
Wellcome Image Awards 2015
01
A Killer Instinct
Previous Month
Next Month