Now in our 15th year of bringing you beautiful imagery from biomedical science every day

Search the archive of over 4000 images

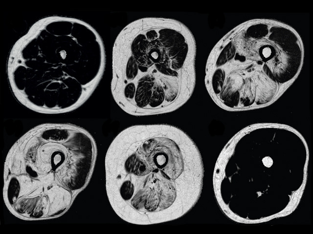
Muscle Magnets
12 April 2015

Muscle Magnets

The muscular dystrophies (MDs) affect the lives of around 70,000 people in the UK, causing progressive muscle weakening and sometimes early death. These cross-sections of the thighs of patients with limb girdle muscular dystrophy (LGMD), which mostly affects the leg and arm muscles, were made using magnetic resonance imaging (MRI). Bottom right is muscle from a healthy person, while the others are from LGMD sufferers at various stages. As the condition progresses, muscle (dark areas) is replaced by fat (paler areas). Analysing these images revealed which particular muscles are affected and when, and how the disease differs in men and women. MDs are currently incurable, Duchenne being one of the most severe; this information will therefore help doctors assess a patient’s condition, and their reaction to potential treatments. Biopsies and walking checks, which are currently used, are more invasive and effortful, so MRI will also be more convenient for patients.

Written by Ash Redhouse White

Search The Archive

Submit An Image

Follow on Tumblr

Follow on Instagram

What is BPoD?

BPoD stands for Biomedical Picture of the Day. Managed by the MRC Laboratory of Medical Sciences until Jul 2023, it is now run independently by a dedicated team of scientists and writers. The website aims to engage everyone, young and old, in the wonders of biology, and its influence on medicine. The ever-growing archive of more than 4000 research images documents over a decade of progress. Explore the collection and see what you discover. Images are kindly provided for inclusion on this website through the generosity of scientists across the globe.

Read More

BPoD is also available in Catalan at www.bpod.cat with translations by the University of Valencia.