Skip to main content
Archive
About
Contribute
Contact
RSS
Now in our 15th year of bringing you beautiful imagery from biomedical science every day
Search the archive
of over 4000 images
Search
March 2015 Images
Previous
2014
Jan 15
Feb 15
Mar 15
Apr 15
May 15
Jun 15
Jul 15
Aug 15
Sep 15
Oct 15
Nov 15
Dec 15
2016
Next
Wellcome Image Awards 2015
31
Metabolic Landscape
Wellcome Image Awards 2015
30
Into the Blue
29
Two Left Features
28
Wired for Sound
27
A Second Skin
26
Partners in Crime
25
Brain Charge
24
Cells Rush In
23
Pollution Problems
22
Heart-Healing Machinery
21
Here Comes SAM
20
Bye Bye Bubble?
19
Closing the Gap
18
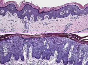
Soothing Psoriasis
17
Light Force
16
Vomiting Larry
15
Antibiotic Armoury
14
Probing the Placenta
13
Snapping Brain Activity
12
Il-lumen-ating
11
Phone Lab
10
Skinny Heart
09
Clearing the View
08
Cash and Grab
07
Snake Pharma
06
O2 Mobile
05
Sugar Nests
04
Organs-On-Chips
03
Keeping Cancer Quiet
02
Fishing for Longevity
01
Silence is Golden
Previous Month
Next Month