Now in our 15th year of bringing you beautiful imagery from biomedical science every day

Search the archive of over 4000 images

Soothing Psoriasis
18 March 2015

Soothing Psoriasis

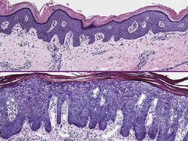
Psoriasis is a condition in which the body’s immune system malfunctions, causing excessive production of skin cells. This results in scaly red patches that are often itchy and sore. Researchers have long suspected that a cell-to-cell signaling molecule called interleukin-23 (IL23) triggers the condition. They’ve been testing therapies based on human antibodies – Y-shaped proteins used by our immune system to identify and neutralise invaders – to stop IL23 molecules binding to immune cells. Now, a trial with one antibody-based therapy has produced encouraging results: nearly all of the 31 patients who received the treatment saw dramatic improvements in their symptoms. Here we see a sample from a patient showing how the outer layer of skin, known as the epidermis thickens due to the over-production of skin cells (bottom). Eight weeks after treatment the epidermis has thinned to normal levels (top), reducing the patient’s itchiness.

Written by Daniel Cossins

Search The Archive

Submit An Image

Follow on Tumblr

Follow on Instagram

What is BPoD?

BPoD stands for Biomedical Picture of the Day. Managed by the MRC Laboratory of Medical Sciences until Jul 2023, it is now run independently by a dedicated team of scientists and writers. The website aims to engage everyone, young and old, in the wonders of biology, and its influence on medicine. The ever-growing archive of more than 4000 research images documents over a decade of progress. Explore the collection and see what you discover. Images are kindly provided for inclusion on this website through the generosity of scientists across the globe.

Read More

BPoD is also available in Catalan at www.bpod.cat with translations by the University of Valencia.