Skip to main content
Archive
About
Contribute
Contact
RSS
Now in our 15th year of bringing you beautiful imagery from biomedical science every day
Search the archive
of over 4000 images
Search
October 2020 Images
Previous
2019
Jan 20
Feb 20
Mar 20
Apr 20
May 20
Jun 20
Jul 20
Aug 20
Sep 20
Oct 20
Nov 20
Dec 20
2021
Next
31
The Devour Ring
30
Biting Behaviour
29
Precious Meta
28
Pass it On
27
Emotion Detectors
26
Cancer-hunting Viruses
25
Wave Machine
24
Source of Sync
23
Forgotten Fractals
22
A Milky Way
21
Follow the Heart
20
Well-oiled Machine
19
Small Following
October is Breast Cancer Awareness Month
18
Migration Controls
17
Too Soon
16
Taking Shape
15
Plugging a Leak
14
Vaccine Victory
Biomedical Person of the Month
13
Objective C
12
Mini Heart Organoid
11
Lipid Service
10
Eyeing-up Fertility
09
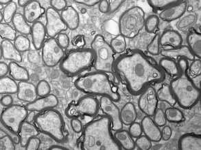
Brain Maker
08
Learning from Experience
07
Hair Loss
06
Monster Munchers
05
All Wrapped Up
04
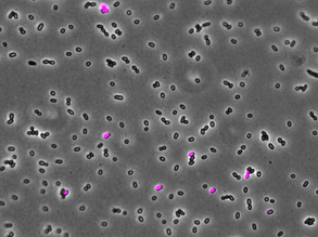
Bacterial Breakout
03
Flaming Brain
02
Compromised Design
01
Past and Present
Previous Month
Next Month