Now in our 15th year of bringing you beautiful imagery from biomedical science every day

Search the archive of over 4000 images

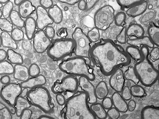
All Wrapped Up

Insight into the remyelination process and how to encourage it for treating neuronal disease like multiple sclerosis

05 October 2020

All Wrapped Up

Much of what happens in our cells is the result of chain reactions – proteins collide and change, perhaps hurtling one towards the nucleus where it switches another 'on' or 'off' … it’s like a very, very small domino show. Such signalling cascades are often involved in many different processes at once, and drugs aiming to intervene – changing the way the biological dominos fall – require careful design. Here nerve cells (neurons, shown as bunched-up blobs in this cross section of a spinal cord), are wrapped in a fatty substance called myelin (dark outlines) which helps neurons to conduct impulses quickly and efficiently. Injury to nerve cells requires re-myelination – a healing process driven by a signalling cascade which can be hampered by age and conditions like multiple sclerosis. Recently researchers discovered a chemical called theophylline interferes in the cascade that blocks re-myelination, potentially helping neurons 'heal' in new treatments for neuronal disease.

Written by John Ankers

Search The Archive

Submit An Image

Follow on Tumblr

Follow on Instagram

What is BPoD?

BPoD stands for Biomedical Picture of the Day. Managed by the MRC Laboratory of Medical Sciences until Jul 2023, it is now run independently by a dedicated team of scientists and writers. The website aims to engage everyone, young and old, in the wonders of biology, and its influence on medicine. The ever-growing archive of more than 4000 research images documents over a decade of progress. Explore the collection and see what you discover. Images are kindly provided for inclusion on this website through the generosity of scientists across the globe.

Read More

BPoD is also available in Catalan at www.bpod.cat with translations by the University of Valencia.