Now in our 15th year of bringing you beautiful imagery from biomedical science every day

Search the archive of over 4000 images

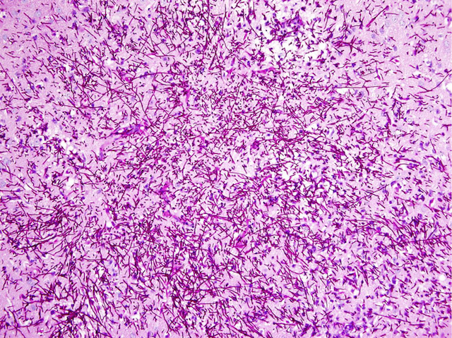
Brain Invasion
22 January 2016

Brain Invasion

This is a snapshot of the inside of a mouse’s brain, seen here magnified 200 times down a microscope, and it’s not at all well. The dark pink speckles are threads of Candida fungus, invading the brain tissue and spreading aggressively. Candida is the most common fungal infection in humans, and can cause serious disease or even death. Anti-fungal drugs can help to keep infections in check, but they need to work alongside the patient’s own immune system. The reason the fungus is running riot in this mouse’s brain is because it’s missing a gene called Card9, which normally mobilises special infection-fighting cells, known as neutrophils, into action against the invaders. Babies born without the human version of the gene, CARD9, often get fungal infections affecting the brain, so figuring out how to boost their neutrophils or other parts of the immune system could prove to be a lifesaving solution.

Written by Kat Arney

Search The Archive

Submit An Image

Follow on Tumblr

Follow on Instagram

What is BPoD?

BPoD stands for Biomedical Picture of the Day. Managed by the MRC Laboratory of Medical Sciences until Jul 2023, it is now run independently by a dedicated team of scientists and writers. The website aims to engage everyone, young and old, in the wonders of biology, and its influence on medicine. The ever-growing archive of more than 4000 research images documents over a decade of progress. Explore the collection and see what you discover. Images are kindly provided for inclusion on this website through the generosity of scientists across the globe.

Read More

BPoD is also available in Catalan at www.bpod.cat with translations by the University of Valencia.