Now in our 15th year of bringing you beautiful imagery from biomedical science every day

Search the archive of over 4000 images

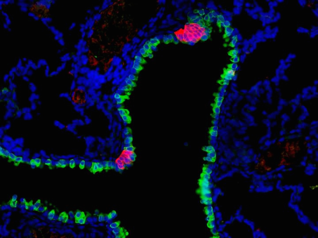
Picking up Air
27 January 2016

Picking up Air

Many elements in the environment, such as allergens and chemicals mixed into the air, can have an effect on our bodies. Our lungs have small pulmonary neuroendocrine cells (PNECs), which have recently been found to behave like a sensor: they collect and 'understand' precise information about the surrounding air, before sending this information to the brain. The brain then returns signals to the PNECs, causing them to release small molecules called neuropeptides, which help the immune system to protect the body. These PNECs, pictured in red, are found sprinkled among the cells that line the airway of the lungs (in green). They are the only known cells in the airway that are linked to the nervous system. Defining the role of these cells may help us to understand and maybe even prevent diseases such as asthma.

Written by Katie Panteli

Search The Archive

Submit An Image

Follow on Tumblr

Follow on Instagram

What is BPoD?

BPoD stands for Biomedical Picture of the Day. Managed by the MRC Laboratory of Medical Sciences until Jul 2023, it is now run independently by a dedicated team of scientists and writers. The website aims to engage everyone, young and old, in the wonders of biology, and its influence on medicine. The ever-growing archive of more than 4000 research images documents over a decade of progress. Explore the collection and see what you discover. Images are kindly provided for inclusion on this website through the generosity of scientists across the globe.

Read More

BPoD is also available in Catalan at www.bpod.cat with translations by the University of Valencia.