Now in our 15th year of bringing you beautiful imagery from biomedical science every day

Search the archive of over 4000 images

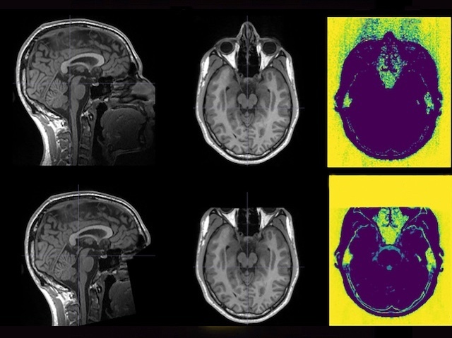
Face Off

'De-facing' scans affects how human assessors rate the scan's quality

03 June 2025

Face Off

On the face of it, an MRI brain scan might not look much like a recognisable person, but removing facial features (pictured, bottom, with full scans above) is an essential step in ensuring that privacy is maintained when people’s scans are used in research. Altering images inevitably risks influencing their reliability, so researchers investigated how ‘defacing’ impacted human and automated quality assessments of a set of scans in an openly-available database. Trained human raters ranked the images as being of different quality when defaced – on average slightly higher – especially on lower quality scans. The bias was most pronounced in the most experienced ranker’s judgements, suggesting preconceptions that have accumulated over time. But automated computer quality assessment was unaffected by defacing. The researchers suggest ensuring quality checks happen before images are defaced to avoid bias creeping in at the early stage of processing that might affect analysis and research outcomes later.

Written by Anthony Lewis

Search The Archive

Submit An Image

Follow on Tumblr

Follow on Instagram

What is BPoD?

BPoD stands for Biomedical Picture of the Day. Managed by the MRC Laboratory of Medical Sciences until Jul 2023, it is now run independently by a dedicated team of scientists and writers. The website aims to engage everyone, young and old, in the wonders of biology, and its influence on medicine. The ever-growing archive of more than 4000 research images documents over a decade of progress. Explore the collection and see what you discover. Images are kindly provided for inclusion on this website through the generosity of scientists across the globe.

Read More

BPoD is also available in Catalan at www.bpod.cat with translations by the University of Valencia.