Now in our 15th year of bringing you beautiful imagery from biomedical science every day

Search the archive of over 4000 images

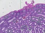
In a Streak

22 December 2024

In a Streak

One of the earliest events as an embryo develops is establishing symmetry with a structure called the primitive streak. Within the anterior primitive streak are found notochord progenitors important in shaping the embryo. This study discovers the details of the emergence of these progenitors by culturing human stem cells in micropatterns in the lab under various conditions

Read the published research article here

Written by Lindsey Goff

Search The Archive

Submit An Image

Follow on Tumblr

Follow on Instagram

What is BPoD?

BPoD stands for Biomedical Picture of the Day. Managed by the MRC Laboratory of Medical Sciences until Jul 2023, it is now run independently by a dedicated team of scientists and writers. The website aims to engage everyone, young and old, in the wonders of biology, and its influence on medicine. The ever-growing archive of more than 4000 research images documents over a decade of progress. Explore the collection and see what you discover. Images are kindly provided for inclusion on this website through the generosity of scientists across the globe.

Read More

BPoD is also available in Catalan at www.bpod.cat with translations by the University of Valencia.