Now in our 15th year of bringing you beautiful imagery from biomedical science every day

Search the archive of over 4000 images

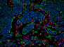
Going Nano

Nanobodies can target and help image cellular parts other bigger antibodies can't reach

17 November 2019

Going Nano

Fighting off infections is what antibodies are made for. But that's in the body. In the lab, because they bind to specific proteins, fluorescently-tagged antibodies can be used to reveal and image where those proteins reside in cells. However, the size of typical antibodies prevents them from getting to proteins in hard-to-reach places. However, the camel family and cartilaginous fish make far smaller versions dubbed nanobodies. They can penetrate deeper and enable higher resolution imaging. This is especially important for the study of nerve cells, which are highly complex in both their structure and the variety of proteins they contain. Researchers designed nanobodies against proteins crucial for brain function, and found in restricted regions within nerve cells. Fluorescence imaging of nanobody-treated mouse nerve cells (pictured) illustrates how nanobodies can precisely reveal proteins distributed at cell contacts called synapses. These nanobodies form a powerful toolkit to help uncover the inner workings of nerve cells.

Written by Lux Fatimathas

Search The Archive

Submit An Image

Follow on Tumblr

Follow on Instagram

What is BPoD?

BPoD stands for Biomedical Picture of the Day. Managed by the MRC Laboratory of Medical Sciences until Jul 2023, it is now run independently by a dedicated team of scientists and writers. The website aims to engage everyone, young and old, in the wonders of biology, and its influence on medicine. The ever-growing archive of more than 4000 research images documents over a decade of progress. Explore the collection and see what you discover. Images are kindly provided for inclusion on this website through the generosity of scientists across the globe.

Read More

BPoD is also available in Catalan at www.bpod.cat with translations by the University of Valencia.