Skip to main content
Archive
About
Contribute
Contact
RSS
Now in our 15th year of bringing you beautiful imagery from biomedical science every day
Search the archive
of over 4000 images
Search
August 2014 Images
Previous
2013
Jan 14
Feb 14
Mar 14
Apr 14
May 14
Jun 14
Jul 14
Aug 14
Sep 14
Oct 14
Nov 14
Dec 14
2015
Next
31
Lessons from Lizards
30
Glowing Health
29
Blood and Gold
28
Space Invaders
27
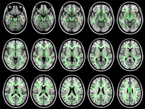
Brain Scene Investigation
Born on this Day
26
Explained Mysteries
25
Patched-up Plastic
24
The High Life
23
Lab-grown Brain
22
Superman Remembered
21
See-through Tissue
20
Bugs Spread Socially
19
Out of Sight
18
The Grizzly Truth
17
Light Orchestra
16
3D-Printed Corpses
15
Old Blood
14
Bad Apple Snail
13
Plumbing for Eyes
12
Cancer Incites
11
Insulin Islands
10
Worrying Worms
09
Mind Controllers
08
Slipping Into Cells
07
Rabid Vampire Bats
06
Twist, Stick, Fold
05
Communication Breakdown
04
Disequilibrium
03
Licence to Trill
02
Now Hear This
01
Gut Bugs Attack
Previous Month
Next Month