Now in our 15th year of bringing you beautiful imagery from biomedical science every day

Search the archive of over 4000 images

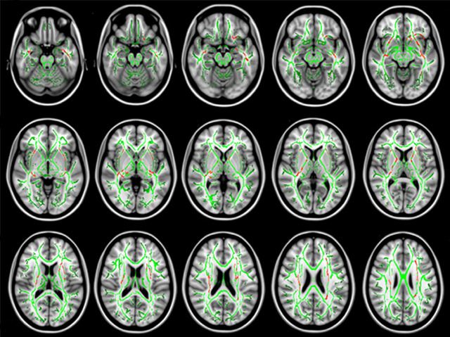
Communication Breakdown
05 August 2014

Communication Breakdown

There’s fretting and then there’s generalised anxiety disorder (GAD), a condition characterised by chronic and excessive worry about everyday things. Brain-imaging studies have suggested GAD is associated with abnormal neural circuitry in brain regions involved in emotional regulation. Most studies have focused on neuron-loaded grey matter but researchers are turning to white matter, which is composed of nerve fibres and fires signals between disparate regions of grey matter. Looking closely at teenage brains, researchers have now found that this white matter network is degraded in adolescent GAD patients. Pictured is an image, cut in to lateral cross-sections, of an approximation of the average white matter network (green) in 25 teenagers with GAD and 24 healthy controls. The red parts mark sections where it has been significantly reduced in GAD patients compared to healthy teenagers. It appears that this degradation, by disrupting within-brain communication, may play a key role in inducing chronic anxiety.

Written by Daniel Cossins

Search The Archive

Submit An Image

Follow on Tumblr

Follow on Instagram

What is BPoD?

BPoD stands for Biomedical Picture of the Day. Managed by the MRC Laboratory of Medical Sciences until Jul 2023, it is now run independently by a dedicated team of scientists and writers. The website aims to engage everyone, young and old, in the wonders of biology, and its influence on medicine. The ever-growing archive of more than 4000 research images documents over a decade of progress. Explore the collection and see what you discover. Images are kindly provided for inclusion on this website through the generosity of scientists across the globe.

Read More

BPoD is also available in Catalan at www.bpod.cat with translations by the University of Valencia.