Now in our 15th year of bringing you beautiful imagery from biomedical science every day

Search the archive of over 4000 images

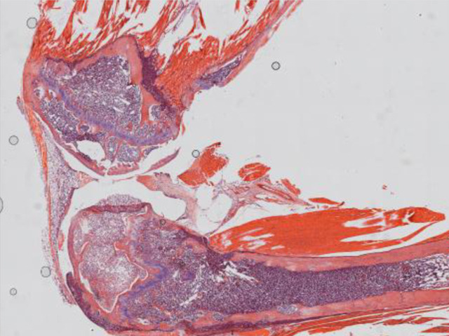
A Leggy Model
23 March 2013

A Leggy Model

Deep within a mouse leg bone – shown here in cross-section – something is going wrong. Cells are multiplying out of control in the bone marrow, creating a type of cancer called myeloma (stained bluey-purple). Although it's not a very common cancer, myeloma can be difficult to treat successfully and fewer than four in ten patients currently survive for more than five years. One major problem holding back the development of better treatments is the social nature of the cancer cells. They need to interact with other cells in the bone marrow to grow properly – something that's hard to recreate in lonely plastic dishes in the lab. By studying mice that have had myeloma cells transplanted into their leg bone marrow, researchers can get a more realistic view of how the cancer responds to drugs in a real life situation, helping them to pinpoint the most effective future treatments.

Written by Kat Arney

Search The Archive

Submit An Image

Follow on Tumblr

Follow on Instagram

What is BPoD?

BPoD stands for Biomedical Picture of the Day. Managed by the MRC Laboratory of Medical Sciences until Jul 2023, it is now run independently by a dedicated team of scientists and writers. The website aims to engage everyone, young and old, in the wonders of biology, and its influence on medicine. The ever-growing archive of more than 4000 research images documents over a decade of progress. Explore the collection and see what you discover. Images are kindly provided for inclusion on this website through the generosity of scientists across the globe.

Read More

BPoD is also available in Catalan at www.bpod.cat with translations by the University of Valencia.