Now in our 15th year of bringing you beautiful imagery from biomedical science every day

Search the archive of over 4000 images

World Down Syndrome Day Inside Down
21 March 2013

Inside Down

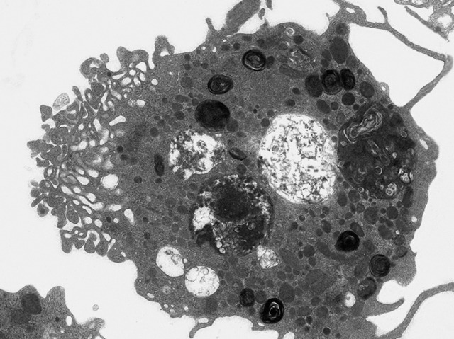
Twenty-three pairs of chromosomes locked within our cells hold the key to the development of the human body. Today, on World Down Syndrome Day, it’s pair number 21 that draws our attention. A developmental defect called trisomy 21 means each human cell ends up with not two, but three, copies of chromosome 21. This results in Down syndrome; a condition characterised by a delay in mental development, short stature and a distinct set of facial characteristics. Heart and immune system defects are also often found and may be explained by differences at the level of cells – specifically, endothelial progenitor cells (EPCs) that circulate in the blood. Scientists found fewer EPCs in individuals with Down Syndrome, and those present were more sensitive to stress and infection. Electron microscopy shows abnormalities in their appearance too – the EPCs (pictured) are larger and have more vacuoles (white spaces) than normal cells.

Written by Lux Fatimathas

Search The Archive

Submit An Image

Follow on Tumblr

Follow on Instagram

What is BPoD?

BPoD stands for Biomedical Picture of the Day. Managed by the MRC Laboratory of Medical Sciences until Jul 2023, it is now run independently by a dedicated team of scientists and writers. The website aims to engage everyone, young and old, in the wonders of biology, and its influence on medicine. The ever-growing archive of more than 4000 research images documents over a decade of progress. Explore the collection and see what you discover. Images are kindly provided for inclusion on this website through the generosity of scientists across the globe.

Read More

BPoD is also available in Catalan at www.bpod.cat with translations by the University of Valencia.