Now in our 15th year of bringing you beautiful imagery from biomedical science every day

Search the archive of over 4000 images

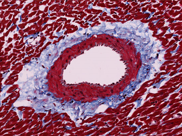
Down the Tubes
13 March 2013

Down the Tubes

This vivid tunnel is a slice through a rat's coronary artery – one of the vital blood vessels that feed the muscles of the heart – and it's in trouble. The white space in the middle, where blood would normally flow, is half the size it should be. And the red layer of muscle cells lining the tunnel is twice as thick as normal, while the blue layer around that (made up of a rubbery tissue called collagen) is also bigger than expected. What’s caused these problems is a cancer drug called doxorubicin, which was given to the animal over several weeks. Doxorubicin is used to treat some types of breast cancer and lymphoma but can also raise the risk of heart attacks. Scientists now know that the drug causes coronary arteries to narrow and thicken – a likely cause of these heart problems.

Written by Kat Arney

Search The Archive

Submit An Image

Follow on Tumblr

Follow on Instagram

What is BPoD?

BPoD stands for Biomedical Picture of the Day. Managed by the MRC Laboratory of Medical Sciences until Jul 2023, it is now run independently by a dedicated team of scientists and writers. The website aims to engage everyone, young and old, in the wonders of biology, and its influence on medicine. The ever-growing archive of more than 4000 research images documents over a decade of progress. Explore the collection and see what you discover. Images are kindly provided for inclusion on this website through the generosity of scientists across the globe.

Read More

BPoD is also available in Catalan at www.bpod.cat with translations by the University of Valencia.