Now in our 15th year of bringing you beautiful imagery from biomedical science every day

Search the archive of over 4000 images

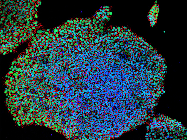
Do or Die

Genetically engineered stem cells that only become the desired functional cell type

19 March 2019

Do or Die

In patients suffering from type I diabetes, high blood sugar levels are caused by the immune system attacking pancreatic beta cells, which produce the regulatory hormone insulin. Potential treatments, based on transplanting new beta cells derived from human embryonic stem cells (hESCs), are approaching clinical trials, but these methods have limitations. hESCs can give rise to multiple cell types, so many unwanted cells are produced, including some undifferentiated cells that could continue to divide and ultimately form tumours. To avoid this, researchers engineered specialised stem cells (pictured, with nuclei in blue and stem cell markers in green and red), with genes that destroy any cell that either fails to differentiate or does not produce insulin. As only functional beta cells survive to be transplanted into patients, this ingenious technique should improve the success of these new therapies, and could generally help more reliably produce useful cell types from stem cells.

Written by Emmanuelle Briolat

Search The Archive

Submit An Image

Follow on Tumblr

Follow on Instagram

What is BPoD?

BPoD stands for Biomedical Picture of the Day. Managed by the MRC Laboratory of Medical Sciences until Jul 2023, it is now run independently by a dedicated team of scientists and writers. The website aims to engage everyone, young and old, in the wonders of biology, and its influence on medicine. The ever-growing archive of more than 4000 research images documents over a decade of progress. Explore the collection and see what you discover. Images are kindly provided for inclusion on this website through the generosity of scientists across the globe.

Read More

BPoD is also available in Catalan at www.bpod.cat with translations by the University of Valencia.