Now in our 15th year of bringing you beautiful imagery from biomedical science every day

Search the archive of over 4000 images

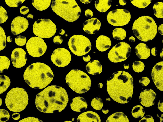
Through a Phase

Mimicking cells using oil droplets shows how phase separation – which can go awry in disease – can be manipulated

11 March 2019

Through a Phase

Being in the right place at the right time often creates opportunities – even inside our cells. A meeting of molecules might cause a reaction, or movement, or total destruction. Made in a laboratory, these blobs mimic the natural crowds of molecules that come together spontaneously in many cells. A fluorescence microscope pictures a sticky protein called poly-L-lysine (artificially coloured yellow), and a cellular fuel source called adenosine triphosphate (ATP) trap strands of DNA (dark spots). Unlike our cells’ organelles, which have a membrane to keep their contents organised, these membrane-less droplets form and disband using phase separation, a bit like how droplets of oil separate in water. Differences in the DNA strands make these droplets more or less likely to form around them – which might help to understand how to manipulate phase separation, or reverse the cases where it goes awry in diseases like amyotrophic lateral sclerosis.

Written by John Ankers

Search The Archive

Submit An Image

Follow on Tumblr

Follow on Instagram

What is BPoD?

BPoD stands for Biomedical Picture of the Day. Managed by the MRC Laboratory of Medical Sciences until Jul 2023, it is now run independently by a dedicated team of scientists and writers. The website aims to engage everyone, young and old, in the wonders of biology, and its influence on medicine. The ever-growing archive of more than 4000 research images documents over a decade of progress. Explore the collection and see what you discover. Images are kindly provided for inclusion on this website through the generosity of scientists across the globe.

Read More

BPoD is also available in Catalan at www.bpod.cat with translations by the University of Valencia.