Skip to main content
Archive
About
Contribute
Contact
RSS
Now in our 15th year of bringing you beautiful imagery from biomedical science every day
Search the archive
of over 4000 images
Search
November 2018 Images
Previous
2017
Jan 18
Feb 18
Mar 18
Apr 18
May 18
Jun 18
Jul 18
Aug 18
Sep 18
Oct 18
Nov 18
Dec 18
2019
Next
30
Reverse Lights
29
Bone Booster
28
Twisted Ankles
27
Night Watch
26
Misshapen Minds
25
Electric Eye
24
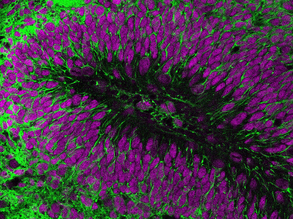
Spiralling into Control
23
Eyebrow Raising
22
Time Machine Learning
Born on this Day
21
Mapping Life
20
Boozy Flies
19
Breakthrough Bacteria
Amyotrophic lateral sclerosis/ motor neurone disease II
18
Junction Box
Amyotrophic lateral sclerosis/motor neurone disease I
17
Losing Contacts
16
Delivering Resistance
15
Crossed Wires
World Diabetes Day
14
Diabetes Device
13
Miming Stingers
12
Touch and Go
11
Fantastic Neuroplastic
10
Bad Contacts
09
Breathing Conductor
08
Fresh Blood
07
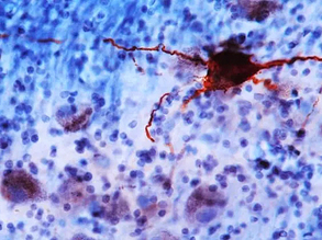
Early Signs
06
Immune Investigations
05
Mouse Mind Map
04
Fatty Foam
03
Copper Consequences
02
Help or Hinder
01
Local Bugs
Previous Month
Next Month