Now in our 15th year of bringing you beautiful imagery from biomedical science every day

Search the archive of over 4000 images

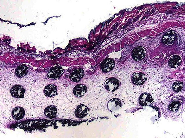
Flexi Bones
09 November 2016

Flexi Bones

Tipped to revolutionise the way we produce all sorts of objects, 3D printing is already stimulating innovations in medicine. A new type of 3D-printed bone implant has recently been developed, made of a blend of ceramic powder and plastics, which greatly improves on existing materials. Flexible, easily trimmed and shaped to fit during surgery, this ‘hyperelastic bone’ (HB) is also relatively cheap and fast to produce. In addition, implants in mice and rats and grafts to repair a macaque’s skull have shown that the new material is accepted and effectively stimulates the growth of real bone. Pictured is a cross-section of hyperelastic bone, 35 days after implantation in a mouse: HB fibres, appearing as dark circles, are surrounded by bone tissue, complete with blood vessels, while layers of muscle and skin have re-grown above them. Subject to more tests, this promising new material could be the future of bone repair.

Written by Emmanuelle Briolat

Search The Archive

Submit An Image

Follow on Tumblr

Follow on Instagram

What is BPoD?

BPoD stands for Biomedical Picture of the Day. Managed by the MRC Laboratory of Medical Sciences until Jul 2023, it is now run independently by a dedicated team of scientists and writers. The website aims to engage everyone, young and old, in the wonders of biology, and its influence on medicine. The ever-growing archive of more than 4000 research images documents over a decade of progress. Explore the collection and see what you discover. Images are kindly provided for inclusion on this website through the generosity of scientists across the globe.

Read More

BPoD is also available in Catalan at www.bpod.cat with translations by the University of Valencia.