Now in our 15th year of bringing you beautiful imagery from biomedical science every day

Search the archive of over 4000 images

System Boost
31 October 2016

System Boost

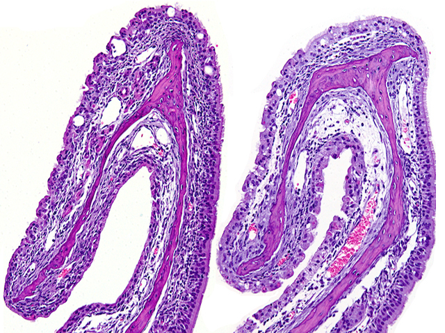
Almost all of us were infected by parainfluenza viruses (PIVs) before the age of five. These respiratory viruses don’t usually cause severe problems, except in people with weakened immune systems. To emulate this, researchers gave mice drugs to suppress their immune systems and examined how they responded to a PIV called Sendai virus. On the left is the nasal cavity from a mouse not treated with immunosuppressants, and shows gaps in the top layer where infected cells have deliberately self-destructed to eliminate the virus. The right sample is from a treated mouse, which doesn’t have this protective response. These immunosuppressants are used in chemotherapy, so patients receiving them are more vulnerable to infection. It was found that types of white blood cells called T and NK cells are responsible for clearing the PIV infection, so in future doctors may be able to give vulnerable patients medication to boost these.

Written by Ash Redhouse White

Search The Archive

Submit An Image

Follow on Tumblr

Follow on Instagram

What is BPoD?

BPoD stands for Biomedical Picture of the Day. Managed by the MRC Laboratory of Medical Sciences until Jul 2023, it is now run independently by a dedicated team of scientists and writers. The website aims to engage everyone, young and old, in the wonders of biology, and its influence on medicine. The ever-growing archive of more than 4000 research images documents over a decade of progress. Explore the collection and see what you discover. Images are kindly provided for inclusion on this website through the generosity of scientists across the globe.

Read More

BPoD is also available in Catalan at www.bpod.cat with translations by the University of Valencia.