Now in our 15th year of bringing you beautiful imagery from biomedical science every day

Search the archive of over 4000 images

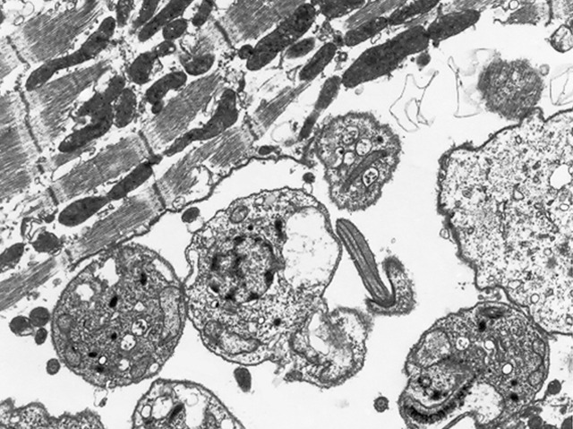
Vaccine Booster
05 July 2015

Vaccine Booster

Chagas disease is one of the most common tropical illnesses in the world. It's caused by a tiny parasite called Trypanosoma cruzi which takes up residence in the heart and stomach muscles, and is shown here (the spheres) down a high-powered electron microscope infecting cells in the heart. The parasite can cause severe health problems for many years, and at the moment there’s no effective prevention against infection. That could be about to change thanks to the development of a potential new vaccine, which triggers the immune system to recognise and destroy Trypanosoma with a double punch. First comes an injection of DNA encoding two parasite-specific protein molecules, followed three weeks later by a booster jab containing the proteins themselves. In tests in mice, the vaccine seems to be having a positive effect, helping the immune system to keep parasite numbers under control and enabling it to fight off infection.

Written by Kat Arney

Search The Archive

Submit An Image

Follow on Tumblr

Follow on Instagram

What is BPoD?

BPoD stands for Biomedical Picture of the Day. Managed by the MRC Laboratory of Medical Sciences until Jul 2023, it is now run independently by a dedicated team of scientists and writers. The website aims to engage everyone, young and old, in the wonders of biology, and its influence on medicine. The ever-growing archive of more than 4000 research images documents over a decade of progress. Explore the collection and see what you discover. Images are kindly provided for inclusion on this website through the generosity of scientists across the globe.

Read More

BPoD is also available in Catalan at www.bpod.cat with translations by the University of Valencia.