Now in our 15th year of bringing you beautiful imagery from biomedical science every day

Search the archive of over 4000 images

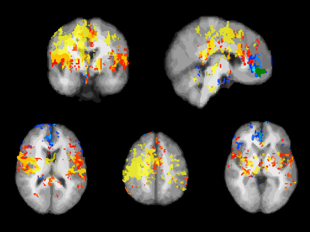
Itchy and Scratchy
13 March 2014

Itchy and Scratchy

We all know how hard it is to resist scratching an itch. This natural response is part of a cycle; when you feel an itch, the sudden need to scratch can be strong. Scratching then leads to relief and to feelings of pleasure. Pictured are brain maps from functional magnetic resonance imaging (fMRI) showing the parts involved during the itch-scratch cycle. Cowhage – a hairy plant – was used to irritate the skin (activating the red-orange areas) and make the subjects scratch (activating the yellow areas). The results show that during scratching more areas of the brain are linked to pleasure, rather than relief. While relief-associated areas are known to be involved in the reward circuit, they were deactivated during scratching. Nevertheless, a feeling of reward was evoked by the drop in the intensity of the itch and the pleasure that arose from scratching – two mechanisms working together to neutralise the itch.

Written by Katie Panteli

Search The Archive

Submit An Image

Follow on Tumblr

Follow on Instagram

What is BPoD?

BPoD stands for Biomedical Picture of the Day. Managed by the MRC Laboratory of Medical Sciences until Jul 2023, it is now run independently by a dedicated team of scientists and writers. The website aims to engage everyone, young and old, in the wonders of biology, and its influence on medicine. The ever-growing archive of more than 4000 research images documents over a decade of progress. Explore the collection and see what you discover. Images are kindly provided for inclusion on this website through the generosity of scientists across the globe.

Read More

BPoD is also available in Catalan at www.bpod.cat with translations by the University of Valencia.