 
	
	
 
	
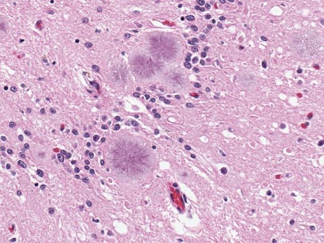
	Variant Creutzfeldt-Jakob disease (vCJD) is a rare and invariably fatal brain-wasting condition. It’s the human form of bovine spongiform encephalopathy (BSE), commonly known as 'mad-cow disease'. At the root of both diseases are prion proteins – misfolded proteins that coax other proteins to misfold as well. This self-amplifying process results in an accumulation of toxic protein clumps (the large, fibrous blobs seen here) that destroy neurons. A BSE outbreak in the 1980s led to a surge of vCJD cases in the UK, and a recent study found that 1 in every 2,000 people there carries the disease-causing prion protein. But that doesn’t necessarily mean they will develop vCJD, because prion proteins were only found in the lymphoid system – including the spleen and tonsils – which is more easily infected than the brain. Nevertheless, scientists will be watching closely as it’s still not clear if the infection can spread from the lymphoid system.
Written by
BPoD stands for Biomedical Picture of the Day. Managed by the MRC Laboratory of Medical Sciences until Jul 2023, it is now run independently by a dedicated team of scientists and writers. The website aims to engage everyone, young and old, in the wonders of biology, and its influence on medicine. The ever-growing archive of more than 4000 research images documents over a decade of progress. Explore the collection and see what you discover. Images are kindly provided for inclusion on this website through the generosity of scientists across the globe.
BPoD is also available in Catalan at www.bpod.cat with translations by the University of Valencia.