Now in our 15th year of bringing you beautiful imagery from biomedical science every day

Search the archive of over 4000 images

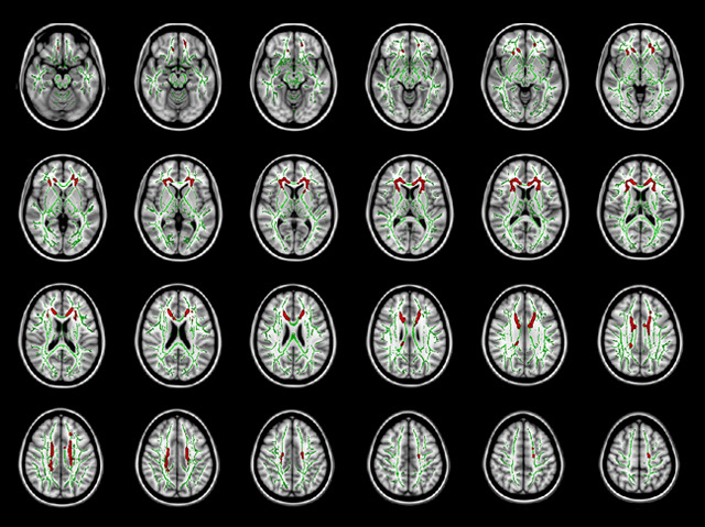
Addiction Week Malign Online
09 January 2014

Malign Online

The internet depends on a vast network of fibre optic cables that ferry the billions of parcels of data around the globe. It’s an unfortunate irony therefore that internet addiction – an affliction made possible by these information pathways – appears to damage the brain's own fibre network. In online addicts, the biological bridges that link different brain areas, called white matter, are significantly reduced (indicated by red areas in these brain maps) in zones associated with mediating craving and compulsive behaviours. Without these areas functioning properly, resisting the urge to log on becomes even more difficult. Finding ways to protect or regenerate white matter could provide a potential new treatment target for internet addiction, which is a growing problem. Prevalence rate estimates vary greatly but some think that 8% of the population in Europe and North America are affected, with even higher rates in Asia.

Written by Jan Piotrowski

Search The Archive

Submit An Image

Follow on Tumblr

Follow on Instagram

What is BPoD?

BPoD stands for Biomedical Picture of the Day. Managed by the MRC Laboratory of Medical Sciences until Jul 2023, it is now run independently by a dedicated team of scientists and writers. The website aims to engage everyone, young and old, in the wonders of biology, and its influence on medicine. The ever-growing archive of more than 4000 research images documents over a decade of progress. Explore the collection and see what you discover. Images are kindly provided for inclusion on this website through the generosity of scientists across the globe.

Read More

BPoD is also available in Catalan at www.bpod.cat with translations by the University of Valencia.