Now in our 15th year of bringing you beautiful imagery from biomedical science every day

Search the archive of over 4000 images

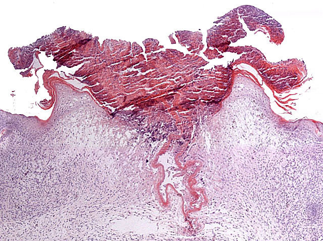
Healing Power
12 September 2013

Healing Power

Skin has a remarkable ability to mend itself – just think about the number of times you’ve cut your finger or grazed your knee. When skin gets cut, blood leaking out of the wound clots and forms a protective scab within minutes. This shields the cut while cells around the edge of the wound multiply to replace lost tissue and fill in the gap. Scientists still don’t understand exactly what controls this process, but there are many chemical signals at play. Even our hormones are important. The scabby wound shown here (stained darker pink) is actually seven-days old – by this point it should have almost healed up completely. But this skin comes from a mouse that has no ovaries, and can’t produce the hormone oestrogen, which is important for the healing process. Studies like this help scientists piece together how and why our skin is so good at fixing itself.

Written by Emma Stoye

Search The Archive

Submit An Image

Follow on Tumblr

Follow on Instagram

What is BPoD?

BPoD stands for Biomedical Picture of the Day. Managed by the MRC Laboratory of Medical Sciences until Jul 2023, it is now run independently by a dedicated team of scientists and writers. The website aims to engage everyone, young and old, in the wonders of biology, and its influence on medicine. The ever-growing archive of more than 4000 research images documents over a decade of progress. Explore the collection and see what you discover. Images are kindly provided for inclusion on this website through the generosity of scientists across the globe.

Read More

BPoD is also available in Catalan at www.bpod.cat with translations by the University of Valencia.