Now in our 15th year of bringing you beautiful imagery from biomedical science every day

Search the archive of over 4000 images

Battling Brain Breakdown
04 September 2013

Battling Brain Breakdown

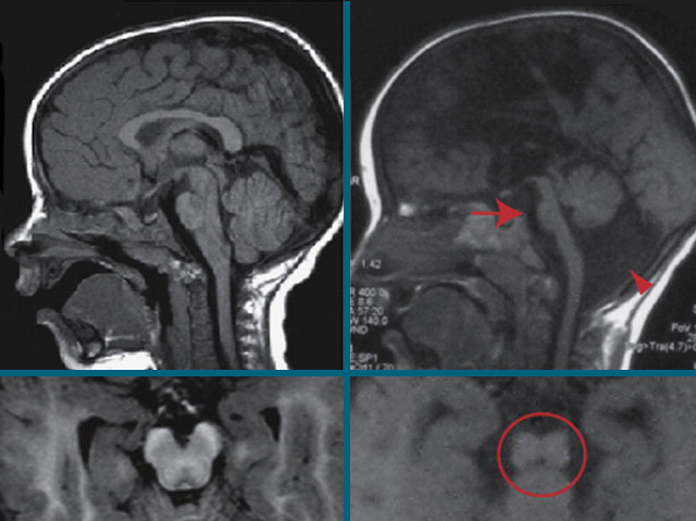
Neurodegenerative diseases, where structures in the brain break down, are devastating for the people affected and their loved ones. These include Parkinson’s, Alzheimer’s and Huntington’s diseases in adults, but there are also others affecting very young children. Babies born with an inherited fault in a gene called AMPD2 have difficulties with feeding and movement after birth, which get progressively worse. Sadly, they usually die by the age of ten and there is no treatment. The faulty gene causes problems with their brainstem – a key area that links movement and sensing signals between the brain and the body. The difference is clear in the brain scan on the right where a patient’s shrunken brainstem is highlighted in red, compared with an unaffected child on the left. The good news is that researchers are working on drugs that could over-ride the loss of AMPD2 and provide hope for children in the future.

Written by Kat Arney

Search The Archive

Submit An Image

Follow on Tumblr

Follow on Instagram

What is BPoD?

BPoD stands for Biomedical Picture of the Day. Managed by the MRC Laboratory of Medical Sciences until Jul 2023, it is now run independently by a dedicated team of scientists and writers. The website aims to engage everyone, young and old, in the wonders of biology, and its influence on medicine. The ever-growing archive of more than 4000 research images documents over a decade of progress. Explore the collection and see what you discover. Images are kindly provided for inclusion on this website through the generosity of scientists across the globe.

Read More

BPoD is also available in Catalan at www.bpod.cat with translations by the University of Valencia.