Now in our 15th year of bringing you beautiful imagery from biomedical science every day

Search the archive of over 4000 images

World Cancer Day World Cancer Day
04 February 2013

World Cancer Day

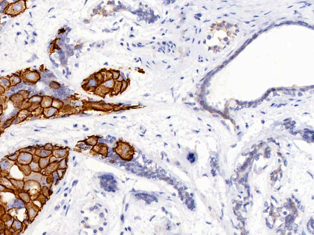
Like an army marching across the countryside, these brown-stained breast cancer cells are encroaching on healthy breast tissue. At this stage the tumour is classed as 'ductal carcinoma in situ' (DCIS), as the cancer cells haven't fully invaded the breast. Even at this early stage, the cancer cells look different – their nuclei (blue patches inside the brown cells) are much larger and more irregular than those in healthy cells (smaller blue dots). Modified images of tumours stained in this way are being used in an exciting new citizen science project called CellSlider, where people can help cancer researchers analyse the huge amounts of data being generated by new lab techniques. Although the bulk of the analysis is done by computer, human eyes and brains are still needed to spot patterns or unusual images, and many hands can make light work of this task. Get involved at Click To Cure.

Written by Kat Arney

Search The Archive

Submit An Image

Follow on Tumblr

Follow on Instagram

What is BPoD?

BPoD stands for Biomedical Picture of the Day. Managed by the MRC Laboratory of Medical Sciences until Jul 2023, it is now run independently by a dedicated team of scientists and writers. The website aims to engage everyone, young and old, in the wonders of biology, and its influence on medicine. The ever-growing archive of more than 4000 research images documents over a decade of progress. Explore the collection and see what you discover. Images are kindly provided for inclusion on this website through the generosity of scientists across the globe.

Read More

BPoD is also available in Catalan at www.bpod.cat with translations by the University of Valencia.