Now in our 15th year of bringing you beautiful imagery from biomedical science every day

Search the archive of over 4000 images

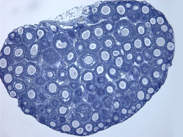
Keeping Eggs Fresh
30 January 2013

Keeping Eggs Fresh

Girls are born with all the eggs they will ever need, over a million, stored in the ovaries as tiny follicles. Their complete development is suspended until reproductive age when, one by one, they develop to maturity and are released. Sometimes the control mechanisms fail, and the entire batch of eggs mature at once, leading to premature ovarian failure and infertility. Scientists don’t know exactly what triggers this, or how to stop it, but they have identified a protein in mice, called pten, that may be important. This ovary is from a mouse that has been genetically engineered to lack pten. The pale blobs are the developing eggs which all appear to have been activated prematurely. A fifth of these eggs can be saved when the mouse is injected with another protein called rapamycin. Studies like this are helping to find new approaches to preserving fertility.

Written by Emma Stoye

Search The Archive

Submit An Image

Follow on Tumblr

Follow on Instagram

What is BPoD?

BPoD stands for Biomedical Picture of the Day. Managed by the MRC Laboratory of Medical Sciences until Jul 2023, it is now run independently by a dedicated team of scientists and writers. The website aims to engage everyone, young and old, in the wonders of biology, and its influence on medicine. The ever-growing archive of more than 4000 research images documents over a decade of progress. Explore the collection and see what you discover. Images are kindly provided for inclusion on this website through the generosity of scientists across the globe.

Read More

BPoD is also available in Catalan at www.bpod.cat with translations by the University of Valencia.