Now in our 15th year of bringing you beautiful imagery from biomedical science every day

Search the archive of over 4000 images

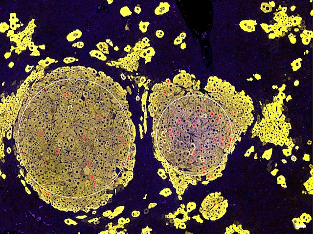
In Zone 3

27 November 2025

In Zone 3

In the normal liver, a gradient in activity of a molecular signalling pathway called WNT keeps liver cell gene expression and growth distinct in different zones (zonation) from outer to inner tissue – around the liver lobule centre vein being zone 3. This study analyses the complexities of WNT-driven growth and differentiation during tumour development in the liver, and reveals that in the context of cancer-associated gene mutations, the WNT-high zone 3 liver cell state doesn't allow WNT-driven oncogenic growth, providing insights into how cancer develops and may be prevented or treated

Read the published research article here

Written by Lindsey Goff

Search The Archive

Submit An Image

Follow on Tumblr

Follow on Instagram

What is BPoD?

BPoD stands for Biomedical Picture of the Day. Managed by the MRC Laboratory of Medical Sciences until Jul 2023, it is now run independently by a dedicated team of scientists and writers. The website aims to engage everyone, young and old, in the wonders of biology, and its influence on medicine. The ever-growing archive of more than 4000 research images documents over a decade of progress. Explore the collection and see what you discover. Images are kindly provided for inclusion on this website through the generosity of scientists across the globe.

Read More

BPoD is also available in Catalan at www.bpod.cat with translations by the University of Valencia.