Now in our 15th year of bringing you beautiful imagery from biomedical science every day

Search the archive of over 4000 images

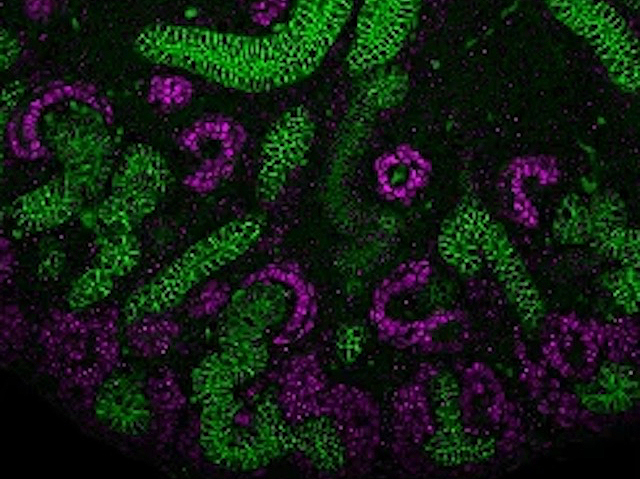
Mutational Impact

20 July 2024

Mutational Impact

Impact of ENL – a DNA modifying (epigenetic) regulator protein – mutation associated with the childhood kidney cancer Wilm's tumour on the developing kidney's gene regulatory landscape before and after birth revealed in mice

Read the published research article here

Written by Lindsey Goff

Search The Archive

Submit An Image

Follow on Tumblr

Follow on Instagram

What is BPoD?

BPoD stands for Biomedical Picture of the Day. Managed by the MRC Laboratory of Medical Sciences until Jul 2023, it is now run independently by a dedicated team of scientists and writers. The website aims to engage everyone, young and old, in the wonders of biology, and its influence on medicine. The ever-growing archive of more than 4000 research images documents over a decade of progress. Explore the collection and see what you discover. Images are kindly provided for inclusion on this website through the generosity of scientists across the globe.

Read More

BPoD is also available in Catalan at www.bpod.cat with translations by the University of Valencia.