Now in our 15th year of bringing you beautiful imagery from biomedical science every day

Search the archive of over 4000 images

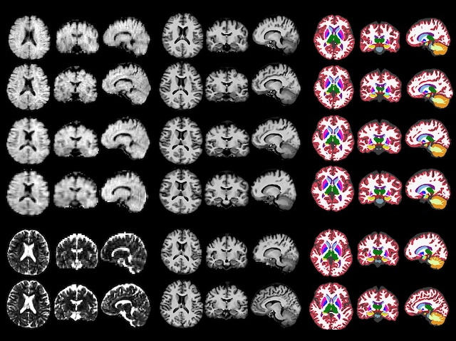
Scan Do Attitude

08 December 2024

Scan Do Attitude

Being able to monitor brain changes in mild cognitive impairment or Alzheimer's disease at point-of-care is desirable but, because of their necessarily lower magnetic field strength, portable MRI scanners have resolution limitations due to a lower signal-to-noise ratio. Here, combination with a machine learning pipeline overcomes disadvantages and renders the portable system more freely available and cost-effective

Read the published research article here

Written by Lindsey Goff

Search The Archive

Submit An Image

Follow on Tumblr

Follow on Instagram

What is BPoD?

BPoD stands for Biomedical Picture of the Day. Managed by the MRC Laboratory of Medical Sciences until Jul 2023, it is now run independently by a dedicated team of scientists and writers. The website aims to engage everyone, young and old, in the wonders of biology, and its influence on medicine. The ever-growing archive of more than 4000 research images documents over a decade of progress. Explore the collection and see what you discover. Images are kindly provided for inclusion on this website through the generosity of scientists across the globe.

Read More

BPoD is also available in Catalan at www.bpod.cat with translations by the University of Valencia.