Now in our 15th year of bringing you beautiful imagery from biomedical science every day

Search the archive of over 4000 images

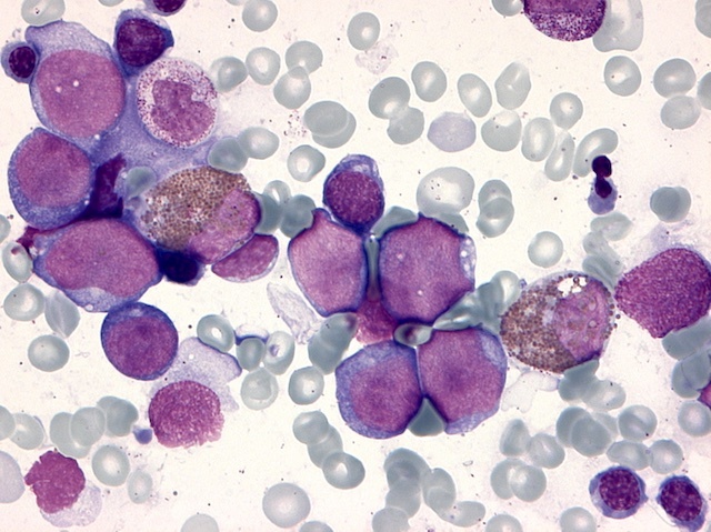
 Blast Zone

Imbalance in proportion of protein Runx1 encoded on the extra chromosome 21 underlies development of myeloid leukaemia in people with Down syndrome

03 April 2023

Blast Zone

An aggressive blood cancer, acute myeloid leukaemia (AML) occurs when abnormal developing white blood cells, known as blasts, start to multiply rapidly, filling up the bone marrow and disrupting the development of other blood cells. Pictured here are blasts (in purple) surrounded by red blood cells, from the bone marrow of a patient with Down syndrome; children with Down’s, a genetic condition caused by carrying a third copy of chromosome 21, are at much greater risk of developing AML. To understand why, researchers used gene editing tools to investigate all 218 genes on this extra chromosome. They homed in on RUNX1, which encodes a transcription factor, a protein that regulates other genes. RUNX1 can be expressed in several forms, and balance between them is key: these recent experiments suggest that AML is linked to an excess of a form called RUNX1A, opening up new avenues for research into potential treatments.

Written by Emmanuelle Briolat

Search The Archive

Submit An Image

Follow on Tumblr

Follow on Instagram

What is BPoD?

BPoD stands for Biomedical Picture of the Day. Managed by the MRC Laboratory of Medical Sciences until Jul 2023, it is now run independently by a dedicated team of scientists and writers. The website aims to engage everyone, young and old, in the wonders of biology, and its influence on medicine. The ever-growing archive of more than 4000 research images documents over a decade of progress. Explore the collection and see what you discover. Images are kindly provided for inclusion on this website through the generosity of scientists across the globe.

Read More

BPoD is also available in Catalan at www.bpod.cat with translations by the University of Valencia.