Now in our 15th year of bringing you beautiful imagery from biomedical science every day

Search the archive of over 4000 images

Local Action

A new live-attenuated vaccine with advantages over currently available COVID-19 vaccines

26 April 2023

Local Action

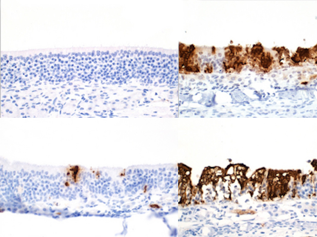
Vaccines are typically injected into an arm muscle, including those recently developed against SARS-CoV-2, the virus responsible for COVID-19. Yet coronaviruses first infect the mucous membranes in our respiratory tract, in the nose, mouth, throat and lungs. Administering vaccines intranasally, to target those frontline areas, could allow us to respond to infection faster. Nasal vaccines against SARS-CoV-2 have already been developed in India and China, but researchers are now testing a new intranasal live-attenuated vaccine, containing a modified virus. Tests in hamsters found it highly effective: very few SARS-CoV-2 particles (in brown) penetrated their nasal mucous membranes after double vaccination with the intranasal vaccine (top left) or even a combination of one intranasal dose with an existing mRNA vaccine (bottom left), compared to poor results after intramuscular vaccination only (right-hand panels). Following up these encouraging results with safety and efficacy trials in humans could provide new options for future vaccination.

Written by Emmanuelle Briolat

Search The Archive

Submit An Image

Follow on Tumblr

Follow on Instagram

What is BPoD?

BPoD stands for Biomedical Picture of the Day. Managed by the MRC Laboratory of Medical Sciences until Jul 2023, it is now run independently by a dedicated team of scientists and writers. The website aims to engage everyone, young and old, in the wonders of biology, and its influence on medicine. The ever-growing archive of more than 4000 research images documents over a decade of progress. Explore the collection and see what you discover. Images are kindly provided for inclusion on this website through the generosity of scientists across the globe.

Read More

BPoD is also available in Catalan at www.bpod.cat with translations by the University of Valencia.