Now in our 15th year of bringing you beautiful imagery from biomedical science every day

Search the archive of over 4000 images

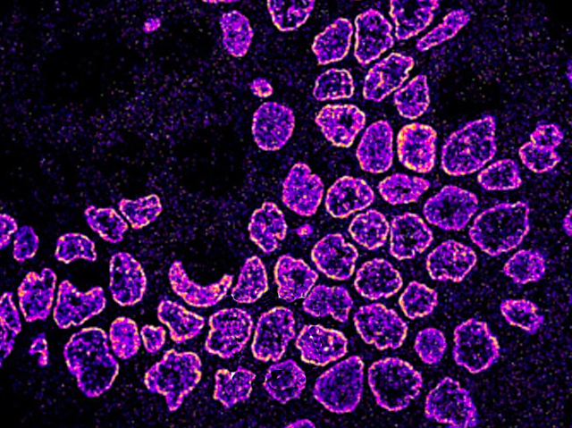
Keep it Tight

Visualising chromatin – the proteins that package DNA – to distinguish between healthy and cancerous cells

30 March 2022

Keep it Tight

As soon as one or two threads in a ball of string come loose, the whole structure can fall apart, leaving a tangled, impractical mess. Long strands of DNA in our cells are wrapped tightly around proteins in a combined structure called chromatin and, like the tangle in the back of your craft drawer, are problematic when they lose their shape. Disrupted chromatin is a hallmark of cancer, but until now how the structure changes has been unclear. A new approach to visualising the transformation has given researchers an unprecedented look at the process. A fluorescent dye binds to DNA, and the dense arrangement of healthy tight chromatin structure shines more brightly than unfurling sections. Clear differences were seen between healthy, precancerous (pictured) and cancerous cells. Tracking this change could help stratify the risk of patients, catching cancer early and guiding treatment.

Written by Anthony Lewis

Search The Archive

Submit An Image

Follow on Tumblr

Follow on Instagram

What is BPoD?

BPoD stands for Biomedical Picture of the Day. Managed by the MRC Laboratory of Medical Sciences until Jul 2023, it is now run independently by a dedicated team of scientists and writers. The website aims to engage everyone, young and old, in the wonders of biology, and its influence on medicine. The ever-growing archive of more than 4000 research images documents over a decade of progress. Explore the collection and see what you discover. Images are kindly provided for inclusion on this website through the generosity of scientists across the globe.

Read More

BPoD is also available in Catalan at www.bpod.cat with translations by the University of Valencia.