Now in our 15th year of bringing you beautiful imagery from biomedical science every day

Search the archive of over 4000 images

Follow the Food

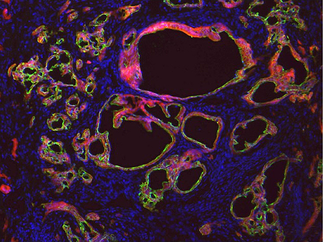
Discriminating between cancer and non-cancer cells by virtue of differently active metabolic enzymes

12 September 2020

Follow the Food

Like an evil corporation with nefarious goals that's staffed in part by everyday people just doing their jobs, tumours are composed of both cancer cells (green in the mouse pancreatic tumour pictured) and non-cancer cells. Being able to specifically target the cancer cells would be an efficient way of bringing the tumour down, and a new study aims to identify them by their unique eating habits. Cancer cells process nutrients differently, and this helps them grow in different ways, but it’s proven hard to study this due to the close interaction between cancer and non-cancer cells. The researchers provided mice with sugar that was labelled and trackable, so could follow its progress through the cancer and non-cancer cells in the tumour, and revealed raised activity of two enzymes in the cancer cells. Insights like this could help develop new drugs to tackle cancer in more efficient and effective ways.

Written by Anthony Lewis

Search The Archive

Submit An Image

Follow on Tumblr

Follow on Instagram

What is BPoD?

BPoD stands for Biomedical Picture of the Day. Managed by the MRC Laboratory of Medical Sciences until Jul 2023, it is now run independently by a dedicated team of scientists and writers. The website aims to engage everyone, young and old, in the wonders of biology, and its influence on medicine. The ever-growing archive of more than 4000 research images documents over a decade of progress. Explore the collection and see what you discover. Images are kindly provided for inclusion on this website through the generosity of scientists across the globe.

Read More

BPoD is also available in Catalan at www.bpod.cat with translations by the University of Valencia.