Now in our 15th year of bringing you beautiful imagery from biomedical science every day

Search the archive of over 4000 images

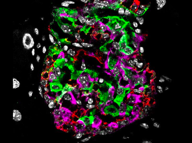
Beta Cell Boost

A hormone and insulin combination regenerates pancreatic beta cells lost to diabetic damage

08 March 2020

Beta Cell Boost

This image shows a mouse pancreatic islet – one of the parts of the pancreas that houses insulin-producing beta cells (green). Loss of these cells is the underlying cause of type I diabetes and can also occur in type 2 diabetes as the condition worsens. Existing medications for diabetes generally work by either directly replacing insulin, boosting its production from remaining beta cells, or reducing blood glucose levels. None are able to reverse the loss of beta cells – but that may be set to change. Recently, researchers have discovered a combination of hormones that, when administered together with a form of insulin, is able to boost beta cell numbers and function in diabetic mice. Moreover, the hormone combination was shown to increase human beta cell function in cultured islets and was non-toxic in animal studies. These results pave the way for potential clinical translation of this regenerative beta cell therapy.

Written by Ruth Williams

Search The Archive

Submit An Image

Follow on Tumblr

Follow on Instagram

What is BPoD?

BPoD stands for Biomedical Picture of the Day. Managed by the MRC Laboratory of Medical Sciences until Jul 2023, it is now run independently by a dedicated team of scientists and writers. The website aims to engage everyone, young and old, in the wonders of biology, and its influence on medicine. The ever-growing archive of more than 4000 research images documents over a decade of progress. Explore the collection and see what you discover. Images are kindly provided for inclusion on this website through the generosity of scientists across the globe.

Read More

BPoD is also available in Catalan at www.bpod.cat with translations by the University of Valencia.