Now in our 15th year of bringing you beautiful imagery from biomedical science every day

Search the archive of over 4000 images

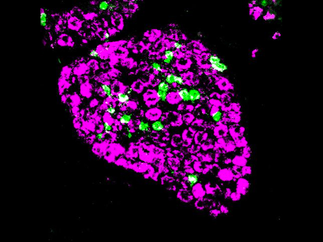
Scratch That

Blocking a specific neurotransmitter molecule prevents itch in mice

19 August 2019

Scratch That

Itching is a familiar irritating sensation, detected by sensory neurons connecting the skin to the spinal cord. The cell bodies of these neurons, the sections containing their nuclei, are gathered with those of other sensory neurons in clusters beside the spinal cord, known as dorsal root ganglia (pictured is one of these, with neurons responsible for itch in green). To communicate their message to spinal interneurons, itch neurons use a neurotransmitter named NPPB, which connects to a specific receptor, NPR1. Eliminating NPPB or interneurons carrying NPR1 suppresses itching in mice, and their interaction is likely to be key in humans too. Recent research uncovered several compounds that block both mouse and human versions of NPR1, and at least one of these can prevent itching in mice. While still far from clinical applications, investigating these inhibitory compounds could help explore potential ways of bringing relief to patients suffering from chronic itch.

Written by Emmanuelle Briolat

Search The Archive

Submit An Image

Follow on Tumblr

Follow on Instagram

What is BPoD?

BPoD stands for Biomedical Picture of the Day. Managed by the MRC Laboratory of Medical Sciences until Jul 2023, it is now run independently by a dedicated team of scientists and writers. The website aims to engage everyone, young and old, in the wonders of biology, and its influence on medicine. The ever-growing archive of more than 4000 research images documents over a decade of progress. Explore the collection and see what you discover. Images are kindly provided for inclusion on this website through the generosity of scientists across the globe.

Read More

BPoD is also available in Catalan at www.bpod.cat with translations by the University of Valencia.