Now in our 15th year of bringing you beautiful imagery from biomedical science every day

Search the archive of over 4000 images

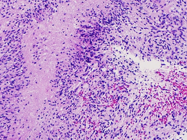
Immortality Kill Switch

Gene studies point to a potential treatment for the aggressive brain tumour glioblastoma that spares normal cells

13 January 2019

Immortality Kill Switch

This is a deadly glioblastoma brain tumour, seen down a microscope and stained to reveal living (purple) and dying (red) cancer cells. Scientists have long been struggling to understand what makes these cancers so difficult to treat and the search has now led to a gene called TERT, which is the most commonly altered gene in glioblastoma. TERT is an important component of telomerase – the molecular ‘immortality machine’ that maintains DNA so cancer cells can keep dividing. Unfortunately, TERT is also needed by healthy cells so it's hard to target with anti-cancer drugs. But researchers have now found that TERT is activated by another molecule, GABP-beta1L, which isn’t needed by healthy cells but is essential for making cancer cells immortal. Getting rid of GABP-beta1L dramatically slows down the growth of glioblastoma cells in the lab – an approach that could be developed into a potentially powerful treatment in the future.

Written by Kat Arney

Search The Archive

Submit An Image

Follow on Tumblr

Follow on Instagram

What is BPoD?

BPoD stands for Biomedical Picture of the Day. Managed by the MRC Laboratory of Medical Sciences until Jul 2023, it is now run independently by a dedicated team of scientists and writers. The website aims to engage everyone, young and old, in the wonders of biology, and its influence on medicine. The ever-growing archive of more than 4000 research images documents over a decade of progress. Explore the collection and see what you discover. Images are kindly provided for inclusion on this website through the generosity of scientists across the globe.

Read More

BPoD is also available in Catalan at www.bpod.cat with translations by the University of Valencia.