Now in our 15th year of bringing you beautiful imagery from biomedical science every day

Search the archive of over 4000 images

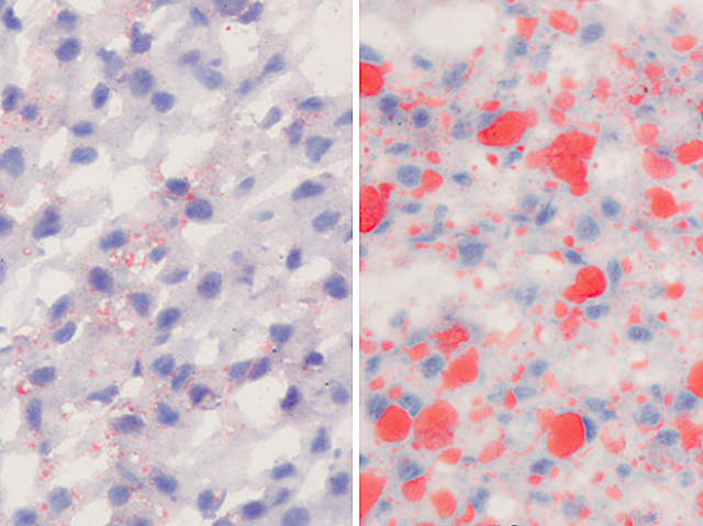
Fatty Foetus
08 May 2018

Fatty Foetus

While it may seem obvious to place the blame for the growing obesity epidemic on poor diets or lack of physical activity, there’s still a lot we don’t know about why an individual person does or doesn’t put on weight. To find out, scientists are going back to the start of life. They’re investigating whether a mother being overweight in pregnancy influences whether her child is likely to grow up to be overweight too. Studying pregnant monkeys as a model for humans, they’ve found that fat droplets (red spots) build up in the livers of foetuses from obese mothers (right) but not in the offspring of females at a healthy weight (left), which might contribute to health problems and obesity later on. More than 50 per cent of women of childbearing age are overweight or obese worldwide, so it’s vital to understand how a mother’s weight affects their child’s health.

Written by Kat Arney

Search The Archive

Submit An Image

Follow on Tumblr

Follow on Instagram

What is BPoD?

BPoD stands for Biomedical Picture of the Day. Managed by the MRC Laboratory of Medical Sciences until Jul 2023, it is now run independently by a dedicated team of scientists and writers. The website aims to engage everyone, young and old, in the wonders of biology, and its influence on medicine. The ever-growing archive of more than 4000 research images documents over a decade of progress. Explore the collection and see what you discover. Images are kindly provided for inclusion on this website through the generosity of scientists across the globe.

Read More

BPoD is also available in Catalan at www.bpod.cat with translations by the University of Valencia.