Now in our 15th year of bringing you beautiful imagery from biomedical science every day

Search the archive of over 4000 images

Mental Health Awareness Week Shocking Thighs
10 May 2017

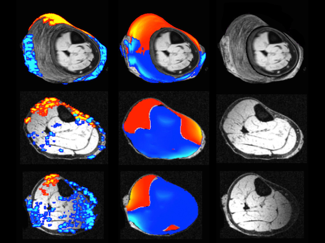
Shocking Thighs

Zapping a patient’s brain with electrical current might sound like an extreme way of improving their mental health. But transcranial direct current stimulation (tDCS) involves gently guiding or 'modulating' brain activity. Using a human thigh here, rather than a brain, researchers test a new method to keep an eye on tDCS treatments in real time. Magnetic resonance imaging (MRI) scanners pick up on tiny changes to invisible magnetic fields caused by the electrical current – revealing different patterns overlaid in orange and blue (middle) on an MRI slice (right) through the thigh. The relationship between current and magnetism is so predictable that tDCS can even be simulated with a computer model (left). Using MRI to monitor tDCS will help in targeting treatments more precisely when tackling psychiatric disorders like drug addiction and depression.

Written by John Ankers

Search The Archive

Submit An Image

Follow on Tumblr

Follow on Instagram

What is BPoD?

BPoD stands for Biomedical Picture of the Day. Managed by the MRC Laboratory of Medical Sciences until Jul 2023, it is now run independently by a dedicated team of scientists and writers. The website aims to engage everyone, young and old, in the wonders of biology, and its influence on medicine. The ever-growing archive of more than 4000 research images documents over a decade of progress. Explore the collection and see what you discover. Images are kindly provided for inclusion on this website through the generosity of scientists across the globe.

Read More

BPoD is also available in Catalan at www.bpod.cat with translations by the University of Valencia.