Now in our 15th year of bringing you beautiful imagery from biomedical science every day

Search the archive of over 4000 images

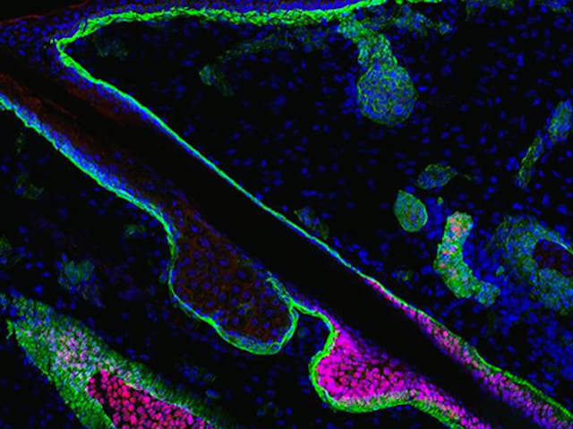
Break a Sweat
03 February 2017

Break a Sweat

Sweating profusely at the gym may seem an inconvenience, but this behaviour is crucial to temperature regulation. Both sweat glands (the round green-tagged protrusion at the top of the picture) and hair follicles (in pink) are found all over our bodies, a major advantage enabling us to survive hot climates and exercise. In most other mammals, they occur on separate body parts. Studying the hairy backs and sweaty paws of mice revealed that these structures depend on two opposing signalling pathways: high levels of a molecule known as BMP promote the growth of sweat glands while suppressing another signal, SHH, required for hair follicles to develop. In humans, these signals are separated in time, so hair follicles appear first, followed by a surge in BMP levels triggering the development of sweat glands. These findings could pave the way for improved skin grafts, which currently do not include sweat glands.

Written by Emmanuelle Briolat

Search The Archive

Submit An Image

Follow on Tumblr

Follow on Instagram

What is BPoD?

BPoD stands for Biomedical Picture of the Day. Managed by the MRC Laboratory of Medical Sciences until Jul 2023, it is now run independently by a dedicated team of scientists and writers. The website aims to engage everyone, young and old, in the wonders of biology, and its influence on medicine. The ever-growing archive of more than 4000 research images documents over a decade of progress. Explore the collection and see what you discover. Images are kindly provided for inclusion on this website through the generosity of scientists across the globe.

Read More

BPoD is also available in Catalan at www.bpod.cat with translations by the University of Valencia.