Now in our 15th year of bringing you beautiful imagery from biomedical science every day

Search the archive of over 4000 images

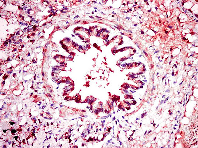
Heavy Metal
18 January 2017

Heavy Metal

Chromium is used in many industries including steel work and leather tanning, and many workers inhale it regularly. However, chromium can form highly reactive molecules inside living tissue, which cause severe damage to cells. Recent tests have shown that inhaling chromium is even more dangerous than previously thought. In rats that had inhaled a form of chromium, it was found to cause damage to the brain and lungs. The rats were moving around less, suggesting that chromium is toxic to their nerve cells. Cells in the lungs and brain were also producing molecular markers that indicate that they’d been harmed and were trying to repair themselves. One of these markers – COX-2– is shown in brown in the flower-like bronchiole in this lung section. More research is needed to find better ways to protect workers from being exposed to chromium, and to reduce the risk of harm after exposure.

Written by Ash Redhouse White

Search The Archive

Submit An Image

Follow on Tumblr

Follow on Instagram

What is BPoD?

BPoD stands for Biomedical Picture of the Day. Managed by the MRC Laboratory of Medical Sciences until Jul 2023, it is now run independently by a dedicated team of scientists and writers. The website aims to engage everyone, young and old, in the wonders of biology, and its influence on medicine. The ever-growing archive of more than 4000 research images documents over a decade of progress. Explore the collection and see what you discover. Images are kindly provided for inclusion on this website through the generosity of scientists across the globe.

Read More

BPoD is also available in Catalan at www.bpod.cat with translations by the University of Valencia.