Now in our 15th year of bringing you beautiful imagery from biomedical science every day

Search the archive of over 4000 images

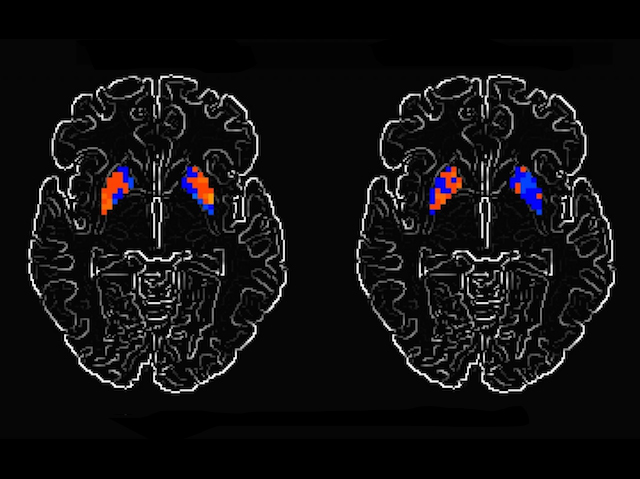
Parkinson's Pointer
03 September 2016

Parkinson's Pointer

Parkinson’s disease progressively destroys certain cells in the brain, particularly those involved in movement, which is why patients tend to suffer from tremors, stiffness, and other mobility problems. Because assessing such physical symptoms can be subjective, researchers have been hunting for what’s known as a 'biomarker' of disease: a precisely measurable factor that accurately reflects disease progression. Now, by examining the brains of Parkinson’s patients, it seems they’ve found one. Scans of patients’ brains showed that activity in two brain regions – the putamen (coloured blobs) and the motor cortex – reduced as the disease worsened. The scan on the right, for example, was taken a year later than that on the left and shows a clear decrease in the red signal (activity). By monitoring this specific activity doctors should have a more definitive view of disease progression and, importantly, of whether any new drugs may be halting or reversing brain degeneration.

Written by Ruth Williams

Search The Archive

Submit An Image

Follow on Tumblr

Follow on Instagram

What is BPoD?

BPoD stands for Biomedical Picture of the Day. Managed by the MRC Laboratory of Medical Sciences until Jul 2023, it is now run independently by a dedicated team of scientists and writers. The website aims to engage everyone, young and old, in the wonders of biology, and its influence on medicine. The ever-growing archive of more than 4000 research images documents over a decade of progress. Explore the collection and see what you discover. Images are kindly provided for inclusion on this website through the generosity of scientists across the globe.

Read More

BPoD is also available in Catalan at www.bpod.cat with translations by the University of Valencia.