Now in our 15th year of bringing you beautiful imagery from biomedical science every day

Search the archive of over 4000 images

Brain Box
01 June 2016

Brain Box

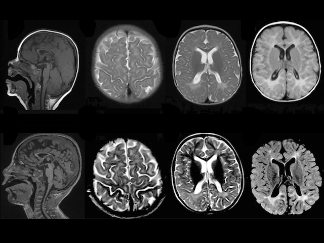
Baby B’s parents first realised something wasn’t right when he was just a few months old. His head seemed small and there were problems with his muscles and joints. By five, he still couldn’t walk, talk or see properly, and was prone to seizures. These MRI brain scans, taken at nine months (top row) and five years (bottom) reveal the problem: a condition known as genetic leukoencephalopathy (gLE). Normally the brain is made up of a mixture of grey matter (made of processing nerve cells) and white matter, formed of connecting and supporting cells. Children with this type of gLE have a fault in a gene called VPS11, leading to too much white matter in their brain. Sadly for B and his family there is currently no cure for the condition. But scientists hope that understanding what’s happening at a molecular level will uncover ways to help in the future.

Written by Kat Arney

Search The Archive

Submit An Image

Follow on Tumblr

Follow on Instagram

What is BPoD?

BPoD stands for Biomedical Picture of the Day. Managed by the MRC Laboratory of Medical Sciences until Jul 2023, it is now run independently by a dedicated team of scientists and writers. The website aims to engage everyone, young and old, in the wonders of biology, and its influence on medicine. The ever-growing archive of more than 4000 research images documents over a decade of progress. Explore the collection and see what you discover. Images are kindly provided for inclusion on this website through the generosity of scientists across the globe.

Read More

BPoD is also available in Catalan at www.bpod.cat with translations by the University of Valencia.